Acute Ischemic Stroke Evaluation and Management
A 75-year-old right-handed woman is brought to the emergency department (ED) suffering from onset of left-sided weakness, slurred speech, and decreased left-sided sensation witnessed by her husband. Her medical history is significant for hypertension (she takes two antihypertensive medications), hyperlipidemia, noninsulin-dependent type 2 diabetes, and coronary artery disease for which she takes aspirin.
On arrival, her blood pressure is 210/92 mm Hg, and her heart rate is 88 beats per minute. Her last known well period was 70 minutes before ED arrival. Her initial examination reveals mild disorientation, left hemiparesis, left facial droop, decreased sensation throughout the left side, dysarthria, right-gaze deviation, and left-sided sensory extinction. She does not seem to be fully aware of or bothered by her symptoms. Her National Institutes of Health Stroke Scale (NIHSS) score is 12, indicating moderate stroke.1
Which of the following cerebrovascular territories do her symptoms localize to?
- Right middle cerebral artery
- Left middle cerebral artery
- Left posterior cerebral artery
- Right posterior cerebral artery
- Right internal carotid artery
- Left internal carotid artery
- A or E
- B or F
| Previous | Next |
Correct! Answer:
Rationale
Most right- and left-handed people are left hemispheric dominant. Signs and symptoms of a nondominant right-middle cerebral artery stroke either from right internal carotid artery or middle cerebral artery disease include contralateral motor weakness and sensory loss, sensory and/or visual extinction or hemi-spatial neglect, ipsilateral gaze deviation, and, possibly, contralateral visual field deficit and anosognosia (inability or refusal to recognize a defect that is clinically evident).
In contrast, a full dominant hemispheric cortical stroke would yield many of the same deficits with the exception of extinction and neglect and extent of anosognosia. Instead, patients might have aphasia. The posterior cerebral artery syndrome consists of contralateral homonymous hemianopsia and, at times, contralateral sensory loss, weakness, and involuntary movements.
| Previous | Continue |
Case Continued
After assessing her ABC (age, biomarkers, and clinical history) stroke risks, what should be the next step in an evaluation for acute stroke?
- Electrocardiogram
- Laboratory tests
- Non-contrasted computed tomography (CT) brain scan
- CT angiogram of head and neck
- Magnetic resonance imaging (MRI) brain scan
- Digital subtraction cerebral angiogram
| Previous | Next |
Correct! Answer:
Rationale
The first step in stroke evaluation, after a careful history, detailed exam, and making sure the patient is stable from a hemodynamic and respiratory standpoint, is to obtain a non-contrasted CT scan of the brain. This is a quick test that provides information on whether there is any intracranial hemorrhage, large areas of completed infarct, or early signs of cerebral ischemia.
| Previous | Continue |
Case Continued
Which of the following is NOT an early sign of middle cerebral artery territory ischemia on a non-contrasted CT brain scan?
- Hypo-attenuating brain tissue
- Mount Fuji sign
- Insular ribbon sign
- Sulcal effacement
- Loss of gray-white matter differentiation
| Previous | Next |
Correct! Answer:
Rationale
Hypo-attenuating brain tissue, loss of insular ribbon sign (loss of gray-white matter differentiation to the lateral aspect of the insular cortex), sulcal effacement, and loss of gray-white matter differentiation are all early signs of cerebral ischemia on a non-contrasted CT brain scan and can help to predict the size of the infarct and prognosis/outcomes. Often, stroke neurologists and neuroradiologists will report the ASPECTS (Alberta Stroke Program Early CT Score), which quantitates the extent of early ischemic changes within the middle cerebral artery territory with a score of 10 being no change appreciated and 0 being change in all areas (indicating a large stroke; 1 point taken away for each designated area affected).2,3 Mount Fuji sign is the presence of air in the frontal lobe convexities indicative of tension pneumocephalus.
| Previous | Continue |
Case Continued
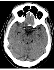
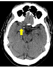
A non-contrasted CT scan of the brain is ordered for the patient. Results are shown in Figure 1.
Figure 1. Non-contrasted CT brain scan of the patient.
What is illustrated in the Figure 1 image?
- Large, completed ischemic stroke
- Acute hemorrhage
- Hyperdense artery sign
- Normal CT scan
- Cerebral aneurysm
| Previous | Next |
Correct! Answer:
Rationale
A hyperdense artery sign is a finding that can be seen quickly on non-contrasted CT brain scans without performing angiography (Figure 2). This sign has been shown to be up to 95% specific and 52% sensitive for detecting intraluminal thrombus and, therefore, arterial occlusion.4
Figure 2. The yellow arrow points to the hyperdense artery sign at the terminus of the right internal carotid artery and extended into the middle cerebral artery on the patient’s non-contrasted CT brain scan (Figure 1).
| Previous | Continue |
Case Continued
What is the next step in acute management of this patient?
- Obtain a CT angiogram
- Obtain an MRI immediately (STAT MRI)
- Start heparin drip
- Administer IV thrombolysis
- No further workup needed
| Previous | Next |
Correct! Answer:
Rationale
Patients at least 18-years-old with suspected disabling acute ischemic stroke symptoms and who meet inclusion criteria (discussed separately) should be treated with IV thrombolysis using a tissue plasminogen activator (t-PA) if symptom onset is within 3 hours from last known well period or, in some cases, up to 4.5 hours from last known well period. Dosing for IV alteplase is 0.9 mg/kg (max 90 mg) over 60 minutes with the initial 10% of the dose given as bolus over 1 minute. Tenecteplase, a commonly used newer thrombolytic agent, is more fibrin-specific, has a shorter half-life, and may be given as a single bolus at 0.25 mg/kg. There is evidence to suggest that tenecteplase is better at recanalizing large-vessel occlusions before thrombectomy, with similar risks as alteplase and results suggesting it is at least noninferior to alteplase for acute stroke treatment.5,6
| Previous | Continue |
Case Continued
Which of these findings on further history or examination would NOT be an absolute contraindication to administration of IV thrombolysis?
- Blood pressure 210/92 mm Hg
- Prior history of intracranial hemorrhage
- Ischemic stroke 6 months ago
- Prior history of spontaneous intracranial hemorrhage
- Current use of apixaban with last dose last night
- All are contraindications
| Previous | Next |
Correct! Answer:
Rationale
Absolute contraindications to IV t-PA are the following:7
- Intracranial hemorrhage on non-contrasted CT brain scan,
- Neurosurgery, head trauma, or stroke in the past 3 months,
- Uncontrolled hypertension (systolic blood pressure (BP) >185 mm Hg or diastolic BP >110 mm Hg),
- History of unprovoked intracranial hemorrhage,
- Known intracranial arteriovenous malformation, neoplasm, or large aneurysm
- Active internal bleeding,
- Suspected or confirmed infective endocarditis,
- Known bleeding diathesis: Platelets below 100,000/mL, elevated activated partial thromboplastin time (aPTT), warfarin use (INR >1.7 or prothrombin time >15 seconds), or nonvitamin K antagonist anticoagulant use within the last 48 hours,
- Glucose level below 50 mg/dL (2.8 mmol/L).
Relative contraindications to IV t-PA (IV t-PA may be considered in patients with one or more to treat severe, disabling stroke symptoms) are the following:
- Minor or rapidly improving stroke symptoms,
- Major surgery or nonserious head trauma within the last 14 days,
- History of gastrointestinal or urinary tract hemorrhage within 21 days,
- Seizure at stroke onset,
- Recent arterial puncture at a noncompressible site,
- Recent lumbar puncture,
- Postmyocardial infarction pericarditis.
Use of IV t-PA is recommended for patients who do NOT have any of the above exclusion criteria.
Additional RELATIVE exclusion criteria exist for IV t-PA administration from 3 to 4.5 hours in the following patient populations:
- Age older than 80 years,
- History of both prior stroke AND diabetes mellitus,
- NIHSS score >25,
- Hypodensity greater than one-third of the cerebral hemisphere on CT,
- No use of oral anticoagulants regardless of INR score.
| Previous | Continue |
Case Continued
After discussing the risks and benefits of IV t-PA therapy with the patient’s family, you administer IV thrombolytic therapy with tenecteplase.
What would be the most appropriate next step in acute management?
- MRI brain scan
- CT angiogram
- Digital subtraction cerebral angiogram
- Admit patient for observation
- No further workup is needed
| Previous | Next |
Correct! Answer:
Rationale
In this scenario, the patient should be evaluated for a large vessel occlusion that may be amenable to endovascular intervention. This is best done by quickly obtaining a CT angiogram. If the patient has an iodine dye allergy, magnetic resonance (MR) angiography is an alternative option, although not as time effective. If the patient is unable to have an MR angiogram for any reason, pretreatment for a CT angiogram should be considered. Even in patients with potential risk of acute kidney injury, CT angiography should be performed given the importance of imaging in acute stroke and the low likelihood of contrast-induced nephropathy, even in patients with known chronic kidney disease.8
| Previous | Continue |
Case Continued
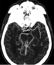
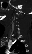
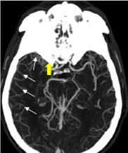
A CT angiogram is ordered for the patient. Results are shown in Figure 3.
A.
B.
Figure 3. The patient’s CT angiography scan showing (A) intracranial axial view and (B) right carotid sagittal view.
Based on the CT angiogram, which of the following is the best next step in acute management of this patient?
- Admit patient to the neurological intensive care unit and monitor
- Augment BP to allow permissive hypertension to 220/110 mm Hg for maximal perfusion
- Reverse IV t-PA
- Administer loading dose of aspirin and clopidogrel
- Call interventionist for consideration of endovascular therapy and/or thrombectomy
| Previous | Next |
Correct! Answer:
Rationale
For this patient specifically, guidelines support early mechanical thrombectomy based on the following criteria:7
- Good baseline functioning; premorbid modified Rankin scale 0-1,
- Occlusion of internal carotid artery or proximal segment (M1) of the middle cerebral artery,
- NIHSS score ≥6,
- ASPECTS ≥6,
- Groin puncture can be initiated within 6 hours of symptom onset.
Note that when these guidelines were published,7 randomized control trials were being conducted to determine the best practices for endovascular therapy for large core infarcts (lower ASPECTS) and implications on extended-window endovascular therapy.
| Previous | Continue |
Case Continued
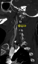
The patient’s CT angiography scan shows she suffered abrupt cessation of blood flow due to occlusion of the right internal carotid artery terminus and right middle cerebral artery but maintained some distal cerebral collateral flow (Figure 4A). The likely etiology of the patient’s occlusion is symptomatic carotid atheroemboli from severely stenotic proximal right cervical internal carotid artery (Figure 4B), and recanalization should be considered for secondary stroke prevention moving forward. (Further discussion of this is beyond the scope of this case.)
A.
B.
Figure 4. Patient’s CT angiography scan (from Figure 3). Figure 4A shows abrupt cessation of blood flow caused by the occlusion of the right internal carotid artery terminus and right middle cerebral artery (solid yellow arrow) while maintaining some distal cerebral collateral flow (white arrows). On Figure 4B, the open yellow arrow points to the symptomatic carotid atheroemboli from severely stenotic proximal right cervical internal carotid artery.
As the patient is en route to the angiography suite for a thrombectomy, she begins complaining of a severe headache and becomes increasingly drowsy. Her blood pressure is now 198/116 mm Hg.
What is your next step in the patient’s management?
- Get the patient to the angiography suite as fast as possible; she is likely having an extension of her stroke and emergent thrombectomy will lead to better outcomes.
- Administer hyperosmolar therapy with mannitol or hypertonic saline as you are concerned for acute cerebral edema due to large ischemic stroke.
- Turn around and take the patient back to the CT scanner to rule out intracranial hemorrhage while administering anti-hypertensive therapy.
- Give IV fluid bolus to increase cerebral perfusion for concern of ongoing ischemia and continue to the angiography suite
| Previous | Next |
Correct! Answer:
Rationale
This patient is most likely suffering an acute hemorrhagic transformation of her acute ischemic stroke post-IV thrombolysis. The correct step here is to perform a repeat non-contrasted CT brain scan to assess for intracranial hemorrhage and lower her BP due to concern of intracranial hemorrhage and also due to BP being outside of post-IV thrombolysis parameters, which increases the risk of hemorrhage.
| Previous | Continue |
Case Continued
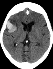
The patient undergoes a repeat non-contrasted CT brain scan (Figure 5).
Figure 5. Results of the repeat non-contrasted CT brain scan image.
Based on the non-contrasted CT brain scan image and after patient was treated with IV nicardipine to lower her current BP of 140/72 mm Hg, what is the best next step in management?
- Take patient to angiography suite for thrombectomy
- Call neurosurgery for an emergent hematoma evacuation
- Admit patient to neurological intensive care unit with plan to repeat CT brain scan in 6 to 8 hours
- Administer blood products and/or medications to reverse the effects of the IV thrombolytic
| Previous | Next |
Correct! Answer:
Rationale
Based on the repeat CT brain scan showing acute right frontotemporal intracerebral hemorrhage and concern for post-IV thrombolytic symptomatic hemorrhage, the best next step would be to administer IV thrombolytic reversal agents. This is often done after obtaining a complete blood count, prothrombin time, aPTT, fibrinogen level, and type and cross-match followed by administration of combined cryoprecipitate and tranexamic acid or aminocaproic acid.
If IV alteplase is being infused, infusion should be stopped as soon as possible. You should refer to your institution’s IV t-PA reversal protocols to become familiar with this process and what is available. It is also important to familiarize yourself with your institutional reversal protocols for other antithrombotic agents for an acute, symptomatic intracranial hemorrhage. Of note, unless a patient is being taken for emergent neurosurgical hematoma evacuation, antiplatelet reversal with platelet transfusions has been shown to be harmful and should be avoided.9
| Previous | Continue |
Key Points
It is important to recognize stroke symptoms as quickly as possible because “time is brain.” One easy acronym to remember is BE-FAST (balance, eyes, face, arm, speech, time).
It is important to obtain a non-contrasted CT brain scan as soon as possible to rule out acute intracranial hemorrhage and determine the patient’s radiographic eligibility for IV thrombolysis.
Early signs of cerebral ischemia on a non-contrasted CT brain scan include hyperdense artery sign, hypo-attenuated brain tissue, insular ribbon sign, sulcal effacement, and loss of the gray-white matter differentiation.
For disabling stroke symptoms, the standard of care includes administration of IV t-PA after consideration of potential contraindications.
In addition to determining eligibility for IV t-PA, patients with acute stroke symptoms should be evaluated immediately for potential large vessel occlusive disease with CT angiography (or MR angiography if patient has a contrast dye allergy), regardless of kidney function.
t-PA should be administered to eligible patients BEFORE obtaining a CT angiogram to look for a large vessel occlusion. Remember, “Time is brain.”
For patients at least 18 years old with independent baseline functioning who present within 6 hours from last known well period with acute, disabling stroke symptoms (NIHSS 6 or greater), mechanical thrombectomy should be considered.
Recognition of post-IV thrombolytic examination changes should prompt emergent evaluation for post-IV thrombolytic symptomatic intracranial hemorrhage. BP control and emergent thrombolytic reversal remain paramount to early patient treatment. It is important to know your institutional reversal protocols.
| Previous |